تمنحك اختبارات القلب لك ولطبيبك مزيدًا من المعلومات حول حالة قلبك ويمكن أن تساعدك في معرفة العلاج (العلاجات) الذي قد يكون أفضل لك. تريد أن تعرف ما يمكن توقعه خلال اختبار القلب؟ تعرف على هذه الاختبارات المختلفة للتحقق من قلبك.
ما هي تحاليل القلب
وعائية
تصوير الأوعية التاجية
أحد تحاليل القلب ويمكن إجراء تصوير الأوعية التاجية أثناء أو بعد نوبة قلبية أو ذبحة صدرية. يطلق عليه أحيانًا “قسطرة القلب”. يتم وضع قسطرة (أنبوب صغير) في شريان في الفخذ والذراع أو الرسغ تحت التخدير الموضعي. يتم نقل القسطرة داخل الشريان حتى يصل إلى قلبك. لن تشعر بهذا.
يتم حقن صبغة خاصة في الشرايين التاجية ويتم أخذ الأشعة السينية. قد يجعلك تشعر بالحرارة وتدفق لبضع ثوان. تُظهر الأشعة السينية لطبيبك مكان تضييق الشرايين التاجية ومقدارها. كما أنه يوضح مدى ضخ قلبك. تساعد تصوير الأوعية التاجية طبيبك على تحديد أفضل علاج لك.
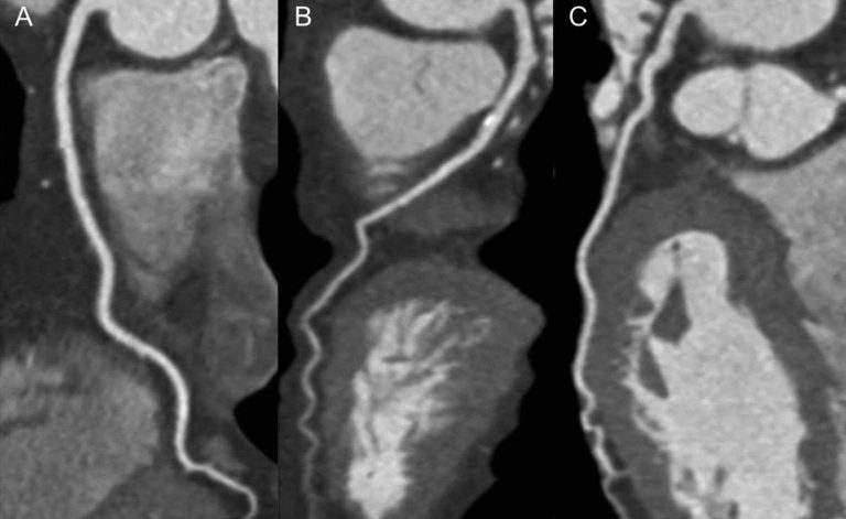
تصوير القلب المقطعي التاجي (CCTA)
هذا هو نوع من التصوير المقطعي المحوسب (CT) الذي يمكن أن يساعد في تشخيص مرض الشريان التاجي. يعطي صورة ثلاثية الأبعاد لغرف القلب والشرايين التاجية التي تمد القلب بالدم. CCTA هو اختبار غير جراحي للأشخاص الذين قد يعانون من أعراض قلبية غير عادية.

تحاليل الدم
عندما تتضرر عضلة القلب كما في النوبة القلبية، ينشر جسمك مواد في دمك. يمكن لفحوصات الدم قياس مستويات هذه المواد وإظهار ما إذا كان قلبك قد تعرض للتلف ومقداره.
يفحص الاختبار الأكثر شيوعًا بعد الإصابة بنوبة قلبية مستويات التروبونين في دمك. يتم إجراء اختبارات الدم أيضًا لقياس مستوى المواد الأخرى في دمك، مثل الدهون في الدم (مثل الكوليسترول والدهون الثلاثية) والمعادن.
مراقبة ضغط الدم
قد يقوم طبيبك بالترتيب لك لارتداء جهاز لمراقبة ضغط الدم لمدة 24 ساعة (خلال النشاط اليومي والنوم). ستساعد هذه الشاشة خفيفة الوزن وسهلة الارتداء طبيبك في الحصول على معلومات دقيقة حول ضغط دمك. قد يطلب منك طبيبك قياس وتسجيل ضغط الدم في المنزل.
الأشعة السينية الصدر
اختبار آخر من تحاليل القلب باستخدام الأشعة السينية، يتم التقاط صور للهيكل والأعضاء داخل صدرك مثل قلبك والرئتين والأوعية الدموية. يمكنهم إظهار ما إذا كانت هناك علامات قصور القلب.
مخطط صدى القلب (الموجات فوق الصوتية للقلب)
مخطط صدى القلب هو اختبار شائع، يعطي صورة لقلبك باستخدام الموجات فوق الصوتية. يستخدم مسبار إما على صدرك أو في بعض الأحيان يمكن القيام به أسفل المريء (الحلق).
يساعد طبيبك على التحقق من وجود أي مشاكل في الصمامات وغرف القلب، ومعرفة مدى قوة قلبك في ضخ الدم. يستخدم تخطيط صدى القلب قبل التمرين وبعده لاكتشاف مناطق القلب حيث يتم تقليل تدفق الدم عبر الشرايين التاجية إلى عضلة القلب.
رسم القلب الكهربائي (ECG)
ECG يقرأ نبضات قلبك الكهربائية. يتم وضع النقاط اللزجة الصغيرة والأسلاك على صدرك وذراعيك وساقيك. يتم توصيل الخيوط بآلة تخطيط القلب التي تسجل النبضات الكهربائية وتطبعها على الورق.
قد يستخدم الطبيب ECG لتشخيص أزمة قلبية أو ضربات القلب غير الطبيعية (وتسمى “عدم انتظام ضربات القلب”).
دراسات الفيزيولوجيا الكهربية
تستخدم دراسات الفيزيولوجيا الكهربية جهاز كمبيوتر للمساعدة في اكتشاف دقات قلب غير طبيعية (عدم انتظام ضربات القلب).
يتم إدخال أنابيب خاصة (القسطرة)، عن طريق الوريد في ساقك في قلبك. تقوم القسطرة بتسجيل النشاط الكهربائي لقلبك واختبار استجابته لمختلف المنبهات. استجابة قلبك الكهربائية لهذه المحفزات تساعد الأطباء على تحديد نوع وسبب عدم انتظام ضربات القلب.
MRI
يستخدم التصوير بالرنين المغناطيسي مغناطيسات قوية وموجات راديو لإنشاء صور مفصلة لقلبك على جهاز كمبيوتر. يمكن أن تأخذ الصور الثابتة أو المتحركة من قلبك. إنها لا تنطوي على إشعاع، والشيء الرئيسي الذي ستلاحظه هو ضوضاء الطبل أثناء إجراء المسح.
في بعض الأحيان يتم استخدام صبغة خاصة لتسهيل رؤية أجزاء من القلب والشرايين التاجية. يُظهر هذا الاختبار لطبيبك بنية قلبك ومدى عمله، حتى يتمكنوا من تحديد أفضل علاج لك.
اختبارات الإجهاد
تساعد اختبارات الإجهاد طبيبك على معرفة مدى عمل قلبك عندما تكون نشيطًا بدنيًا، باستخدام آلات التمرين (مثل جهاز المشي).
ممارسة اختبار الإجهاد
هذا رسم تخطيطي كهربائي (ECG) يتم أثناء تمرينك. يقوم الطبيب بفحص معدل ضربات القلب وإيقاع القلب وضغط الدم. سيوضح الاختبار كيف يعمل قلبك أثناء التمرين. في بعض الأحيان يطلق عليه اختبار المطحنة أو اختبار التمرين.
مخطط صدى القلب الإجهاد (صدى الإجهاد)
يتم حقن مادة مشعة (جهاز تتبع) في مجرى الدم. يستخدم صدى الإجهاد الموجات فوق الصوتية للكشف عن الاختلافات في غرف القلب والصمامات ومدى قوة نبضات القلب عند ممارسة الرياضة، أو عند الإجهاد باستخدام دواء (مثل الدوبوتامين).
اختبار إجهاد القلب النووي
يُسمى هذا الاختبار أحيانًا “فحص ثاليوم التمرين” أو “حلقة مفرغة للنظائر المزدوجة” أو “فحص تمرين نووي”. يتم حقن جرعة صغيرة من مادة مشعة تسمى “التتبع” في مجرى الدم. يذهب إلى قلبك ويطلق الطاقة. تلتقط الكاميرات الخاصة صورة لهذه الطاقة من خارج جسمك.
يستخدم طبيبك هذه الصورة لمعرفة مقدار تدفق الدم إلى عضلة قلبك ومدى ضخ قلبك للدم أثناء الراحة والقيام بنشاط بدني. يساعد هذا الاختبار طبيبك أيضًا على معرفة ما إذا كانت عضلة القلب تالفة.